OrthoSnap в клинике SAN MARCO
Новейшая технология по исправлению прикуса без брекетов!
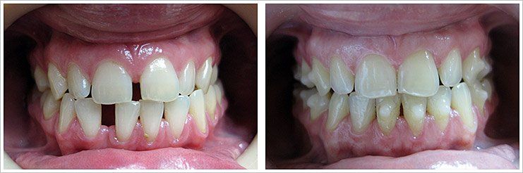
Исправить прикус просто! Система OrthoSnap (элайнеры) - съемные и полностью прозрачные каппы, которые, оказывая особое давление, перемещают зубы в необходимое положение.

Данная система имеет массу преимуществ:
- Совершенно незаметны при ношении.
- Безопасны для Вашего здоровья.
Не вызывают аллергических реакций. Специальный медицинский пластик не влияет на эмаль, не создает дискомфорта при ношении.
- Поддержание гигиены полости рта.
Благодаря съемным конструкциям, Вы сможете чистить зубы привычным для Вас способом, при этом остатки пищи не будут задерживаться
- Совершенно нет ограничений в употреблении пищи.
Вы можете полностью употреблять привычную для Вас пищу. Специальных ограничений нет.
- Экономия личного времени.
Визиты к врачу больше не будут занимать много времени. Элайнеры можно снять в любой момент.
Длительность лечения с помощью системы OrthoSnap индивидуальна и зависит от сложности патологии прикуса. В среднем это 6-8 месяцев.
Ниже приведена таблица со сравнительной характеристикой ортодонтических систем.

За короткое время Вы сможете добиться больших успехов в исправлении прикуса и останетесь довольны результатом.

Стоматология SAN MARCO с удовольствие поможет Вам приобрести шикарную улыбку. В нашей клинике есть официальный представитель OrthoSnap, который сможет предоставить профессиональную консультацию и подобрать для Вас оптимальное лечение по исправлению прикуса.