Девушка из Каменского нуждается в помощи
Марине Самарской нужна помощь для проведения жизненно-необходимой операции.
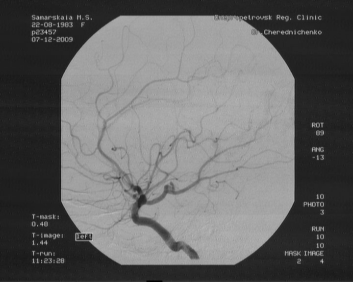
Некоторое время назад после обследования женщине был поставлен диагноз: артерио-венозная мальформация правой затылочной доли.

26 сентября была проведена частичная рентгенэндоваскулярная эмболизация в больнице им. Мечникова в Днепре. Было закрыто только 40 % мальформации. Сейчас женщина находится на реабилитации дома. Но через месяц ей требуется повторная госпитализация для проведения второго этапа эмболизации АВМ. На первую операцию было потрачено около 150 000 гривен и уже на вторую у женщины совсем нет средств. Марина Самарская обращается ко всем неравнодушным людям с просьбой о любой возможной помощи.
Реквизиты для оказания помощи: Приват: 5168 7425 0022 0169 Самарская Марина Сергеевна.